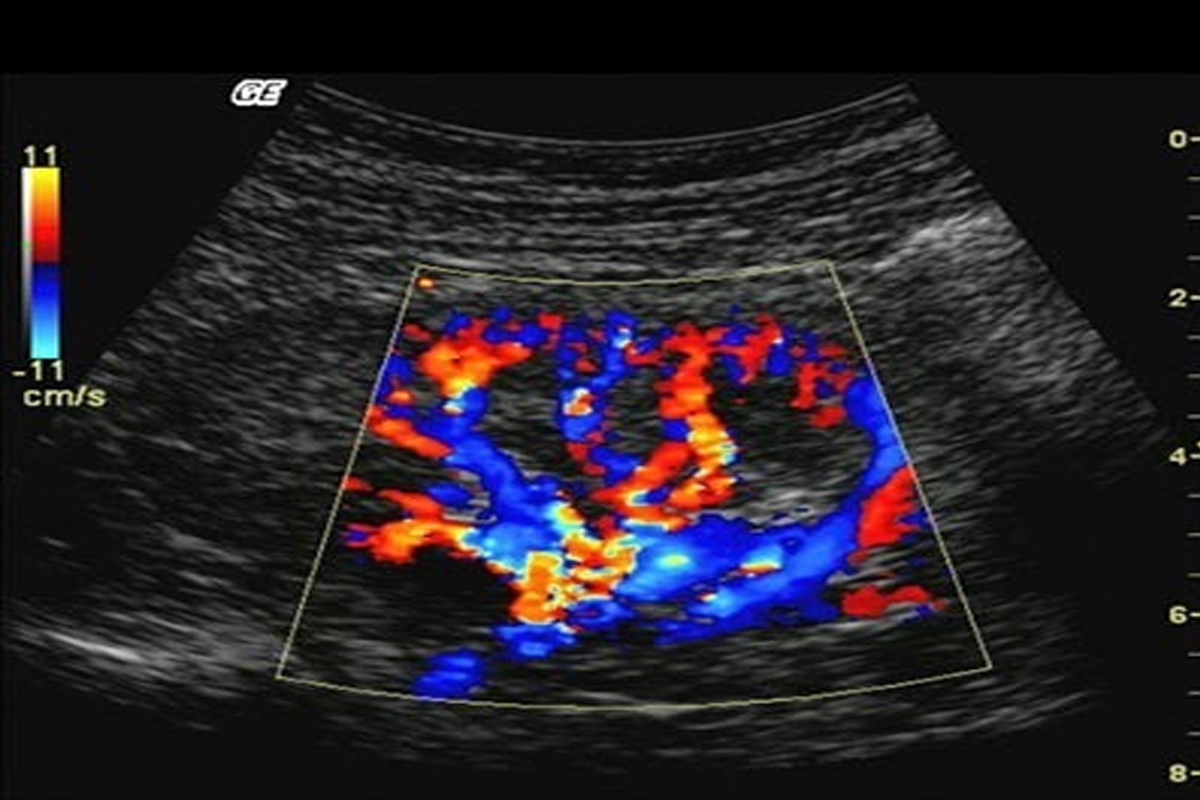
Colour Doppler

Colour Doppler

This type of Doppler uses a computer to change sound waves into different colors. These colors show the speed and direction of blood flow in real time. Power Doppler, a newer type of color Doppler. It can provide more detail of blood flow than standard color Doppler.